DENTAL PROCEDURES

  • Bridges
  • Bruxism Treatment
  • Cleanings
  • Cosmetic Dentistry
  • Crowns
  • Dentistry for Children
  • Denture Relining
  • Denture Adjustments
  • Emergency Treatment
  • Extractions
  • Fillings
  • Fluoride Treatment
  • Implant Restoration
  • New Dentures
  • Nitrous Oxide Sedation
  • Periodontal Disease Treatment
  • Oral Cancer Screenings
  • Oral Hygiene Instructions
  • Root Canals
  • Sealants
  • Tooth Whitening Systems
  • Veneers
  • Wisdom Teeth Removal

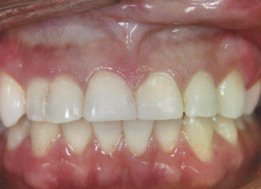
MAKE YOUR SMILE BRIGHTER

Tooth whitening, an easy way to improve your smile, can be done in the dental office or with a take-home kit provided by a dentist. Tooth whitening is a bleaching process in which the dentist makes a custom tray to fit over the teeth. The bleaching solution is then placed in the tray and the tray is worn for a specified period of time, day or night. The process is safe and results can be seen even after the first use. For best results, the trays should be worn periodically for a week or two.
The following before and after shots utilized whitening as well as other cosmetic procedures to achieve the end result.
Bonding is a procedure in which the dentist bonds material to teeth to repair chips, cover stains, or fix unsightly spaces between teeth. The bonding material is made of a tooth-colored composite resin. Bonding generally can be done in one visit. This procedure is typically less expensive than veneer, crown, or bridge treatments.
Veneers are thin, porcelain, tooth-colored shells that are placed over the front of the teeth. Veneers improve the appearance of teeth that are stained, crooked, or misshapen. They generally require less tooth reduction than crowns or bridges, thus conserving the support of valuable tooth structure.
A crown is a cap placed over a tooth to strengthen it and/or improve its appearance. When used to improve the appearance of a tooth, a crown is generally made from porcelain, instead of a gold metal alloy.
Enamel shaping is a painless and relatively inexpensive procedure in which a dentist removes and contours enamel to improve unsightly teeth such as those that are crowded or uneven. It is usually, but not necessarily, combined with bonding.

DENTAL PRODUCTS

  • Athletic Mouth Guards
  • Night Guards
  • NTIs
  • Sleep Apnea Appliances
  • Snoreguards